All on 6

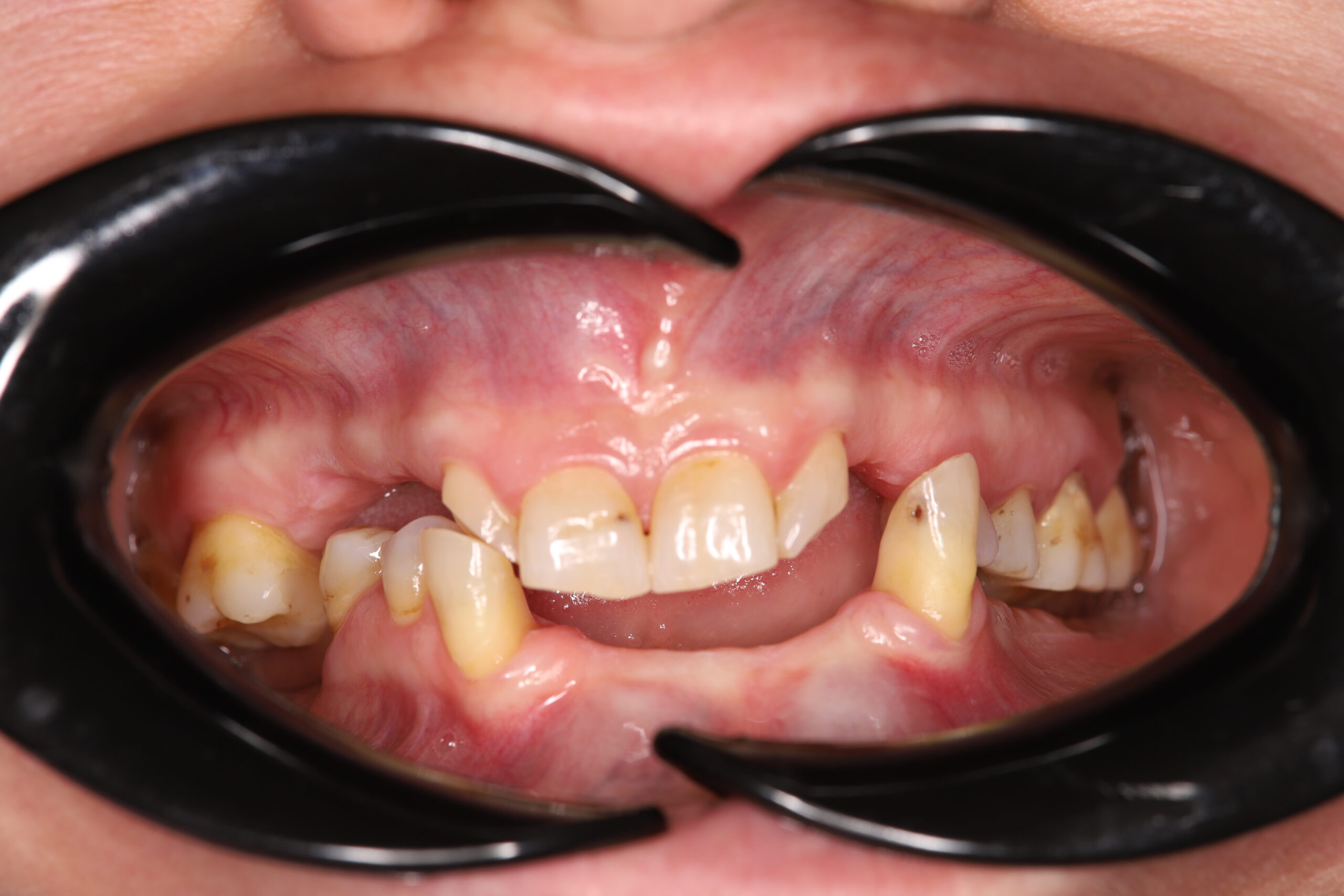
Pacienta s-a prezentat cu functia masticatorie alterata. 

S-a realizat planul de tratament dupa discutia cu pacientul si studierea examenelor complementare: extractia dintilor restanti, implantarea imediata a 6 implanturi superior si inferior si proteze fixe provizorie.

 Dupa 6 luni – 1 an s-au realizat protezele fixe definitive.